بتقنية الشيش المقفل في مستشفى الكفيل.. معالجة سبعيني مصاب بكسر معقد في اعلى الفخذ الايسر

أعلن فريق طبي مختص بجراحة الكسور والمفاصل في مستشفى الكفيل التخصصي بكربلاء، نجاحه بمعالجة رجل سبعيني  مصاب بكسر معقد في أعلى عظم الفخذ الايسر.

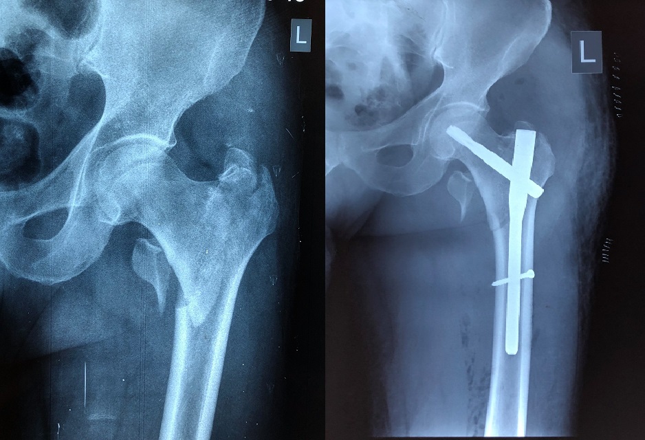
وقال الطبيب المعالج بالمستشفى، الدكتور احسان محمد فرج، في حديث صحفي، أن فريق طبي برئاستنا نجح بعملية تثبيت عظام الفخذ لمريض يبلغ من العمر (72) عام من خلال تقنية الشيش المقفل.

وبين فرج، أن المريض يعاني من هشاشة في العظام ونتيجة لشدة خارجية ادى الى حدوث كسر في أعلى عظم الفخذ الايسر وأن هذا النوع يعد من الكسور الشائعة لدى كبار السن.

موضحاً، أن مستشفى الكفيل اوجدت الحل لمعالجة هكذا حالات من خلال توفيرها لفرق طبية متخصصة وفرق تمريضية متميزة، مضيفاً الى توفير احدث الاجهزة والمستلزمات الطبية ومن ضمنها تقنية شيش العظم المقفل (PFNA)

مشيراً الى ، وجود صالات عمليات متطورة واطباء اختصاص تخدير متمكنين من تقنية التخدير المناطقي وأن المرضى من كبار السن يحتاجون الى هذا النوع من التخدير.